Left Ventricular Dysfunction - Biventricular Failure

← Back to List

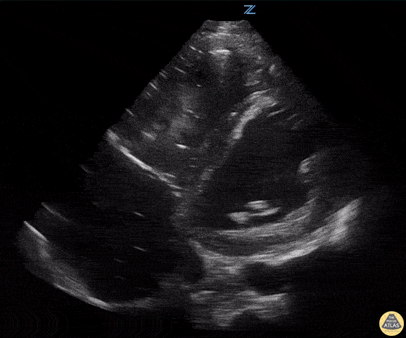
Left Ventricular Dysfunction - Biventricular Failure

Caption

90 y/o F presents with hypotension. Patient was signed out to me by the overnight team with "sepsis" and received 30 cc/kg bolus. Patient began to have SBPs in the 70s again. She was immediately placed on vasopressors and managed for a CHF exacerbation. Image is a slightly obliqued PSAX. John Bowling, DO, Cleveland Clinic Akron General, @BModeBowling The image is slightly oblique giving the LV an oval appearance

Source

https://www.thepocusatlas.com/left-ventricular-dysfunction


Metadata