Left Ventricular Dysfunction - New Onset Cardiomyopathy with Reduced Ejection Fraction

← Back to List

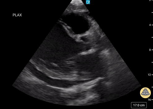
Left Ventricular Dysfunction - New Onset Cardiomyopathy with Reduced Ejection Fraction

Caption

47 year-old male with no cardiac history presenting with shortness of breath and leg swelling for two weeks found to have new onset cardiomyopathy. POCUS echocardiogram showed significant dilation of the LV on parasternal long axis view with reduced EF; EPSS of 23.7 mm. Formal echocardiogram confirmed findings with additional findings including EF <20%, mild dilation of the LA, RA, and RV. While LV is grossly dilated, the significantly increased EPSS correlates with the dramatically reduced EF. Brent Oldham, MD, MPH, PGY-3, Central Michigan University College of Medicine, Emergency Medicine Dan Dunaske, DO, PGY-1, Central Michigan University College of Medicine, Emergency Medicine Brad Buska, MS4, Central Michigan University College of Medicine

Source

https://www.thepocusatlas.com/left-ventricular-dysfunction


Metadata