Thoracic Aortic Dissection & Aneurysm - Ascending Aortic Aneurysm with Dissection Flap

← Back to List

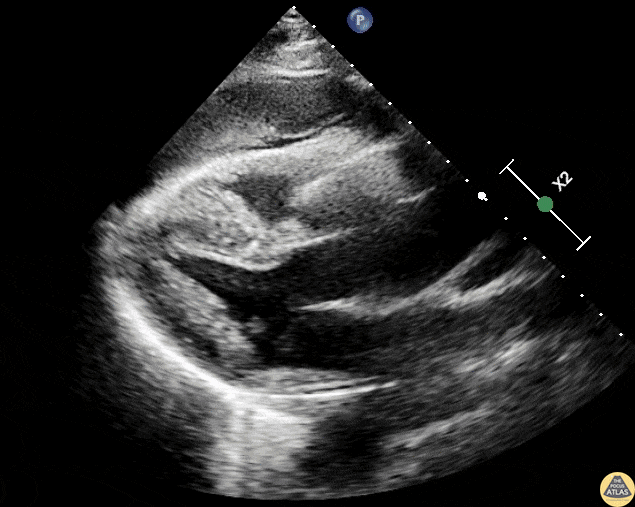
Thoracic Aortic Dissection & Aneurysm - Ascending Aortic Aneurysm with Dissection Flap

Caption

48 y/o male presents with chest pain for >24 hours. Parasternal Long Axis demonstrates ascending aortic aneurysm with a dissection flap and hemorrhagic pericardial effusion. Patient was transferred to ICU in shock. Contributors: Dr. Adriana Brentegani (@dribrentegani) Hospital das Clínicas da Faculdade de Medicina da Universidade de São Paulo - São Paulo, Brasil

Source

https://www.thepocusatlas.com/thoracic-aorta-pathology


Metadata