Thoracic Aortic Dissection & Aneurysm - Aortic Dissection Causing Cardiac Tamponade

← Back to List

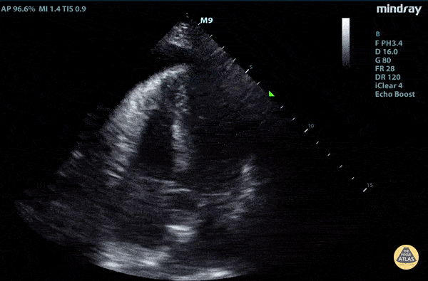
Thoracic Aortic Dissection & Aneurysm - Aortic Dissection Causing Cardiac Tamponade

Caption

Elderly fellow who had a headache while bike riding, with some leg weakness. No chest or back pain. Stable for hours then came to hospital, suddenly hypotension and drowsy in ER POCUS RUSH Exam performed lead to rapid diagnosis of Aortic Dissection with tamponade. Right ventricular diastolic collapse can be seen. Claire Heslop - Pediatric Emergency Medicine - University of Toronto Hospital for Sick Children

Source

https://www.thepocusatlas.com/thoracic-aorta-pathology


Metadata