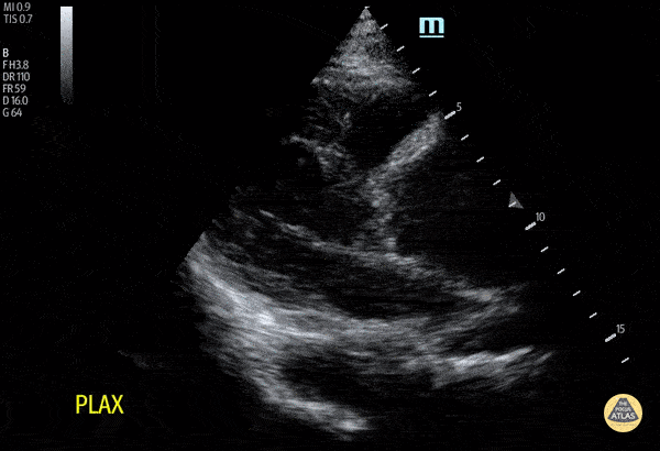
Thoracic Aortic Dissection & Aneurysm - Aortic Root Dilation Due to Aortic Dissection

← Back to List

Thoracic Aortic Dissection & Aneurysm - Aortic Root Dilation Due to Aortic Dissection

Caption

A dilated aortic root in a patient with chest pain radiating to the back. Note that the ratio of right ventricular outflow tract, aortic root and left atrium is not 1:1:1. Whilst you may not always see an intimal flap, a dilated aortic root and new aortic regurgitation may indicate aortic dissection. In this case, aortic dissection was subsequently confirmed on CT aortogram. Dr. Cheng

Source

https://www.thepocusatlas.com/thoracic-aorta-pathology


Metadata