Thoracic Aortic Dissection & Aneurysm - Breaking the rule of 3rds - Aortic Dissection with Root Dilation

← Back to List

Thoracic Aortic Dissection & Aneurysm - Breaking the rule of 3rds - Aortic Dissection with Root Dilation

Caption

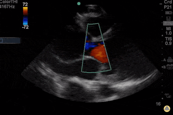
This is a parasternal long axis view of a young patient presenting with 3 days of progressive dyspnea on exertion. He had no chest pain, a normal chest x-ray and and ECG with sinus tachycardia. Beside ultrasound got him to the OR in under 1 hour. The rule of thirds states that in parasternal long, the right ventricular outflow tract, the aortic root, and left atrium should roughly be equal size. Any disparity between these can hint at pathology. In this case, the patient had severe and sudden aortic regurgitation and widening of the aortic root consistent with aortic dissection. - Michael Macias, EM Resident Physician PGY-4, Northwestern University

Source

https://www.thepocusatlas.com/thoracic-aorta-pathology


Metadata