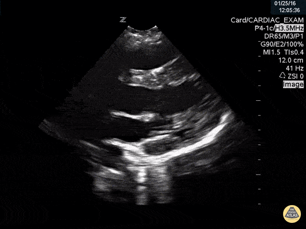
Thoracic Aortic Dissection & Aneurysm - Aortic Dissection Flap Visualized in Proximal Aorta with Root Dilation

← Back to List

Thoracic Aortic Dissection & Aneurysm - Aortic Dissection Flap Visualized in Proximal Aorta with Root Dilation

Caption

This is a parasternal long axis view demonstrating significant enlargement of the aortic root with an identified dissection flap located in the proximal ascending aorta. Frances Russell, MD, RDMS Assistant Professor of Emergency Medicine Division Chief, Ultrasound Fellowship Director, Ultrasound

Source

https://www.thepocusatlas.com/thoracic-aorta-pathology


Metadata