Thoracic Aortic Dissection & Aneurysm - Suprasternal View of Type A Dissection

← Back to List

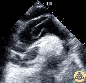
Thoracic Aortic Dissection & Aneurysm - Suprasternal View of Type A Dissection

Caption

Suprasternal notch view shows a mobile intimal dissection flap in the aortic arch. Michael Cover, MD @michaelc0ver

Source

https://www.thepocusatlas.com/thoracic-aorta-pathology


Metadata