Bowel-GI - Normal Appendix (Transverse)

← Back to List

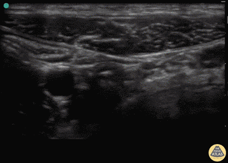
Bowel-GI - Normal Appendix (Transverse)

Caption

13 y/o F with several days of suprapubic pain, dysuria, nausea, vomiting, tender to palpation in the suprapubic and RLQ area. The appendix was visualized on both longitudinal and transverse views as a blind ended structure overlying the iliac vessels, a typical location for the appendix. In this view the iliac vessels and psoas muscle can clearly be visualized to the right of the appendix viewed in cross section. This study was eventually repeated and confirmed as normal. Dr. Sathya Subramaniam, Pediatric EM Fellow - Kings County/SUNY Downstate

Source

https://www.thepocusatlas.com/bowel


Metadata