Blog - The D-sign: Right Ventricular Strain

← Back to List

Blog - The D-sign: Right Ventricular Strain

Caption

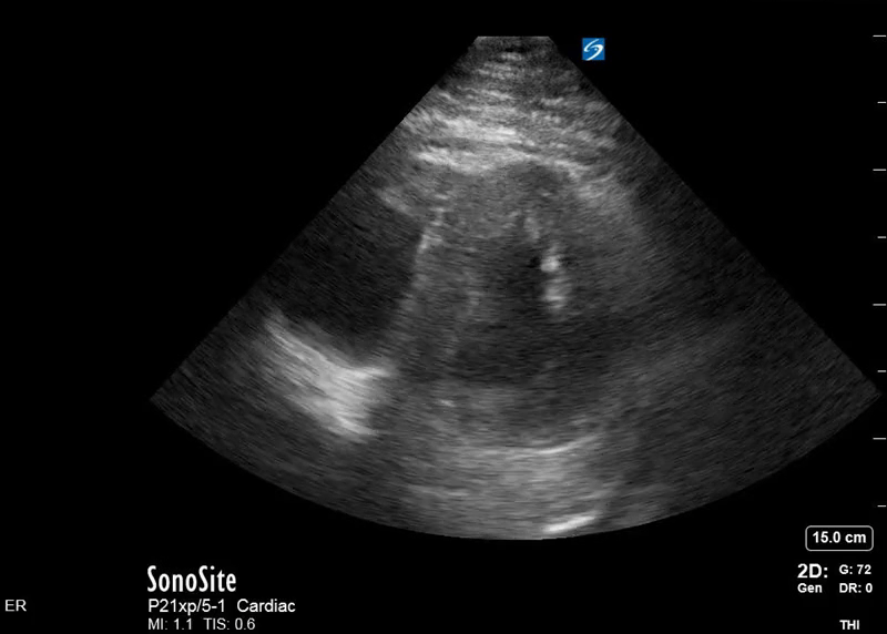
This is a parasternal short axis view in a patient with extensive pulmonary emboli on CTA. The troponin was mildly elevated and patient hemodynamically stable. A bedside echo revealed evidence of RV strain (note the ā€œDā€ shaped left ventricle). Image courtesy of: Therese Mead, DO, Emergency Physician

Source

https://www.thepocusatlas.com/new-blog/d-sign


Metadata