Thoracic Aortic Dissection & Aneurysm - Aortic Dissection Flap in Arch of Aorta

← Back to List

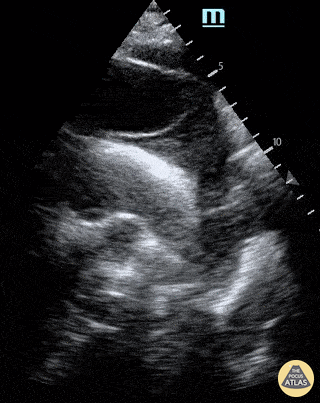
Thoracic Aortic Dissection & Aneurysm - Aortic Dissection Flap in Arch of Aorta

Caption

A 65-year-old male presents with shortness of breath (no chest pain) and was found to have a dilated aortic root on CT pulmonary angiogram. POCUS (supra sternal view) showed a dissection flap in the arch of aorta; a finding subsequently confirmed on CT aortagram. Patient was sent for emergency surgical intervention. Dr.Rajasutharsan Kathirgamanathan, Emergency Physician The Northern Hospital, Melbourne, Australia @raj_kathir007

Source

https://www.thepocusatlas.com/thoracic-aorta-pathology


Metadata