Thoracic Aortic Dissection & Aneurysm - Ascending Thoracic Aortic Aneurysm

← Back to List

Thoracic Aortic Dissection & Aneurysm - Ascending Thoracic Aortic Aneurysm

Caption

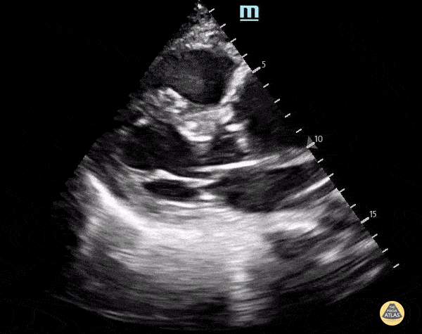
A 70 y.o. male presented with altered mental status. POCUS echocardiogram performed in the ED revealed an ascending thoracic aortic aneurysm measuring approximately 5 cm in diameter (parasternal long-axis view shown here). A chart review revealed that the patient does indeed have a history of TAA, and a comparison of our findings to a prior CTA demonstrates no significant increase in diameter. Nevertheless, this study demonstrates the utility of POCUS in the rapid and early detection of ascending aortic abnormalities. Alex Schlangen, D.O. PGY-1 EM Resident at Central Michigan University; Andrew Namespetra, MB BCh BAO. @AndrewNamespet1 PGY-3 EM Resident at Central Michigan University

Source

https://www.thepocusatlas.com/thoracic-aorta-pathology


Metadata