Right Ventricular Dysfunction - Pulmonary Hypertension from Triscupid Endocarditis

← Back to List

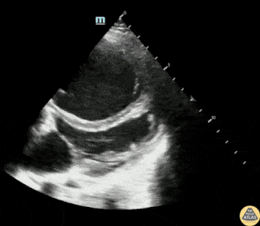
Right Ventricular Dysfunction - Pulmonary Hypertension from Triscupid Endocarditis

Caption

30s F with PMH IVDU and prior endocarditis s/p tricuspid valve repair presented with fever, hypotension, and dyspnea. On RUSH evaluation, this cardiac image was acquired, showing significant RV dilation with bowing of the septum into the LV. The prosthetic tricuspid valve is shown here, but without color doppler, evaluation of the valve patency is limited. Formal TTE showed a patent tricuspid valve however with moderate to severe tricuspid regurgitation, likely explaining the severe RV overload. Dr. Michael Duerson, PGY4 Denver Health Residency in Emergency Medicine

Source

https://www.thepocusatlas.com/right-ventricular-dysfunction


Metadata