Right Ventricular Dysfunction - RV Dysfunction and Pulmonary Hypertension from COPD

← Back to List

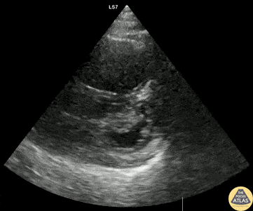
Right Ventricular Dysfunction - RV Dysfunction and Pulmonary Hypertension from COPD

Caption

50s M with PMH COPD presented with dyspnea and increasing oxygen requirement. POCUS is shown here, demonstrating significant RV dilation, reduced RV function, and bowing of the septum concerning for pulmonary hypertension. Additional workup ultimately ruled out ACS and DVT/PE, and the patient was admitted for COPD exacerbation, and formal TTE confirmed a new diagnosis of pulmonary hypertension. Dr. Cailin Frank, Ultrasound Fellow, Denver Health Ultrasound Fellowship Dr. Anna Engeln, Denver Health Medical Center

Source

https://www.thepocusatlas.com/right-ventricular-dysfunction


Metadata