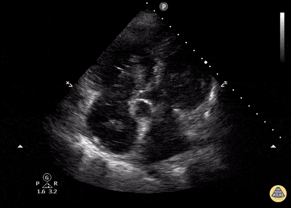
Right Ventricular Dysfunction - Right Atrial Thrombus
Caption
Elderly female with hypotension and shortness of breath and back pain presenting in extremis. Treated with TPA for a RA thrombus and saddle pulmonary embolism. Dr. William Scheels
Elderly female with hypotension and shortness of breath and back pain presenting in extremis. Treated with TPA for a RA thrombus and saddle pulmonary embolism. Dr. William Scheels