Right Ventricular Dysfunction - McConnell's Sign

← Back to List

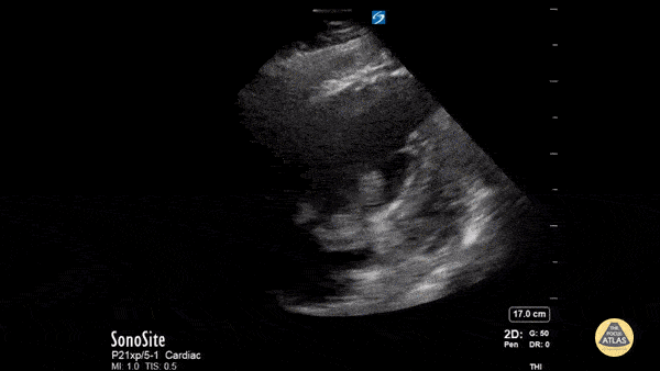
Right Ventricular Dysfunction - McConnell's Sign

Caption

This is a middle-aged male who developed dyspnea suddenly while ambulating. Several weeks prior, he had a laparoscopic procedure with a prolonged post-operative course spanning several weeks in the hospital. He denied chest pain or fever. He was tachypneic with otherwise normal vital signs. Lung sounds were clear, although he had obviously increased work of breathing and appeared diaphoretic. Bedside echocardiography revealed a dilated right ventricle with a positive McConnell sign. There was also a large, lobulated, and mobile hyperechoeic mass within the right atrium suspicious for thrombus. CTA of the chest showed bilateral pulmonary emboli. BNP and troponin were moderately elevated, consistent with submassive pulmonary embolism. Andrew Goodrich, MS, DO, PGY-3 Chief Resident, Central Michigan University Emergency Medicine Residency Therese Mead, DO, RDMS, FACEP Associate Program Director and Ultrasound Director, Central Michigan University Emergency Medicine Residency

Source

https://www.thepocusatlas.com/right-ventricular-dysfunction


Metadata