Right Ventricular Dysfunction - D-Sign in acute PE - Post TPA

← Back to List

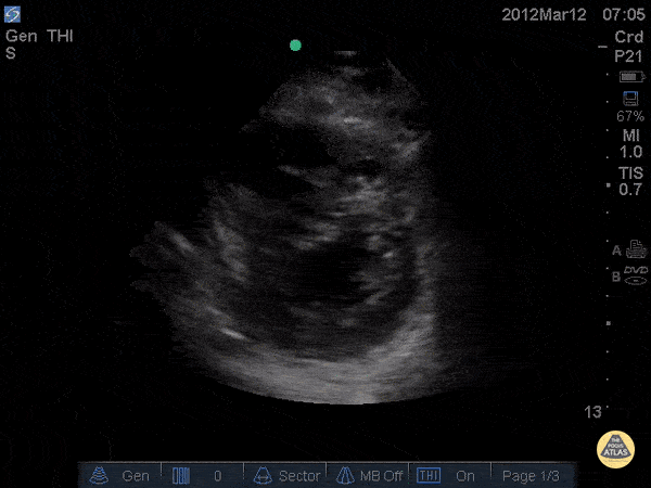
Right Ventricular Dysfunction - D-Sign in acute PE - Post TPA

Caption

34 y/o female no pmh with chest pain and rapid onset dyspnea on exertion noticed over 1 day. Patient became increasingly tachycardic and ultimately hypotensive so RUSH exam was performed showing D - Sign. CTA was subsequently performed and found to have saddle emboli. Echo was done pre and post TPA showing partial resolution of the D-sign. Dr. Joshua Schechter - Kings County Emergency Medicine

Source

https://www.thepocusatlas.com/right-ventricular-dysfunction


Metadata