Right Ventricular Dysfunction - Right Ventricular Failure with Tricuspid Regurgitation

← Back to List

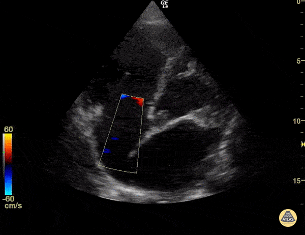
Right Ventricular Dysfunction - Right Ventricular Failure with Tricuspid Regurgitation

Caption

Significant right ventricular dysfunction with moderate tricuspid regurgitation Sukh Singh, MD

Source

https://www.thepocusatlas.com/right-ventricular-dysfunction


Metadata