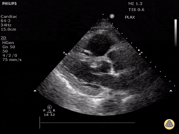
Right Ventricular Dysfunction - Acute Cor Pulmonale (Parasternal Long-Axis View)

← Back to List

Right Ventricular Dysfunction - Acute Cor Pulmonale (Parasternal Long-Axis View)

Caption

Justin Bowra MBBS, FACEM, CCPU Emergency Physician, RNSH et al. (Dr. S Fares)

Source

https://www.thepocusatlas.com/right-ventricular-dysfunction


Metadata