Right Ventricular Dysfunction - The D Sign

← Back to List

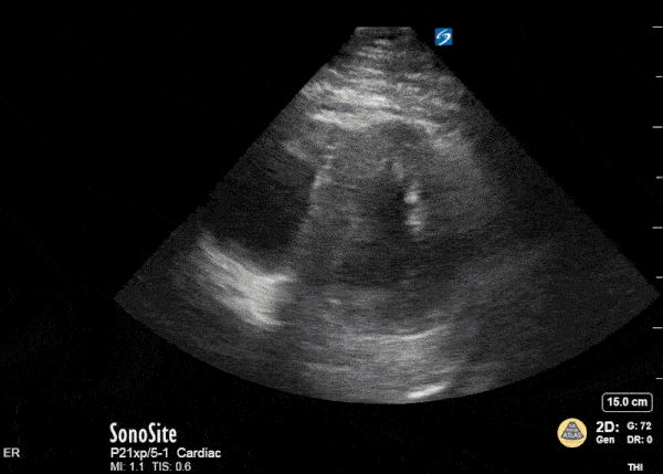
Right Ventricular Dysfunction - The D Sign

Caption

This is a parasternal short axis view in a patient with extensive pulmonary emboli on CT angiogram of the chest. The troponin was mildly elevated and patient hemodynamically stable. A bedside echo revealed evidence of RV strain (note the ā€œDā€ shaped left ventricle). Therese Mead, DO Emergency Physician

Source

https://www.thepocusatlas.com/right-ventricular-dysfunction


Metadata