Right Ventricular Dysfunction - RV Dilation, Effusion, A4C

← Back to List

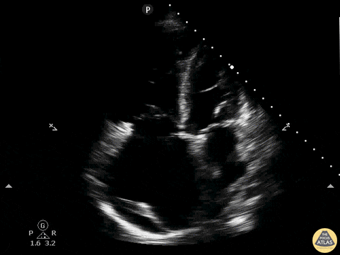
Right Ventricular Dysfunction - RV Dilation, Effusion, A4C

Caption

A patient presenting with acute onset undifferentiated shortness of breath. POCUS was used to narrow the differential. Parasternal short axis demonstrated flattening of the interventricular septum which pushes the left ventricle into the shape of the letter D. Known as the sonographic D-sign, it is correlated with significant right ventricular overload. This sign is not highly sensitive for PE, but can be 80-90% specific when found and associated with other signs of right ventricular strain. Also note on this study: moderate pericardial effusion, right ventricular dilation. Drs. Ronald Rivera, Elizabeth Hanson, Melanie Malloy - Emergency Medicine Residents Dr. Kelly Maurelus, Ultrasound Education Director Kings County/SUNY Downstate Emergency Medicine

Source

https://www.thepocusatlas.com/right-ventricular-dysfunction


Metadata