Bowel-GI - Normal Appendix (Longitudinal)

← Back to List

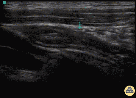
Bowel-GI - Normal Appendix (Longitudinal)

Caption

13 y/o F with several days of suprapubic pain, dysuria, nausea, vomiting, tender to palpation in the suprapubic and RLQ area. This study was eventually repeated and confirmed as normal. The appendix was visualized on both longitudinal and transverse views as a blind-ended structure overlying the iliac vessels, a typical location for the appendix. In this view the slightly dilated blind end can be seen to the right of the screen as it tapers off to the left side of the screen. The pulsating iliac vessels can be seen below. This study was eventually repeated and confirmed as normal. Dr. Sathya Subramaniam, Pediatric EM Fellow - Kings County/SUNY Downstate

Source

https://www.thepocusatlas.com/bowel


Metadata