Right Ventricular Dysfunction - Right-Sided Heart Failure (PSAX)

← Back to List

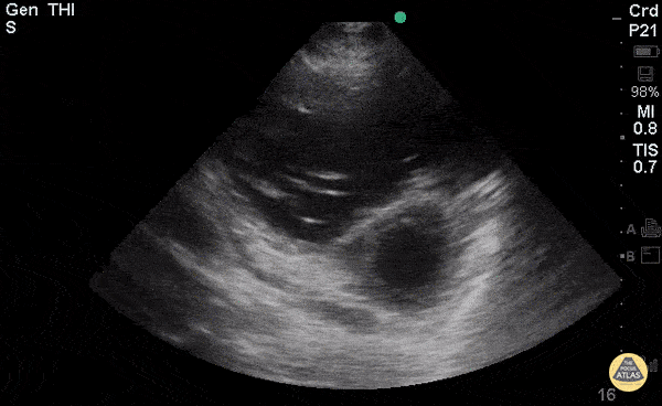
Right Ventricular Dysfunction - Right-Sided Heart Failure (PSAX)

Caption

Young woman with a history of Idiopathic Pulmonary Arterial Hypertension with resultant R heart failure who came in short of breath. Greg Powell, MD

Source

https://www.thepocusatlas.com/right-ventricular-dysfunction


Metadata