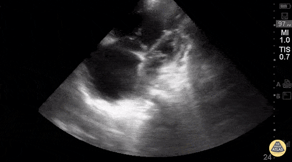
Right Ventricular Dysfunction - Right-Sided Heart Failure (A4C)

← Back to List

Right Ventricular Dysfunction - Right-Sided Heart Failure (A4C)

Caption

Young woman with a history of Idiopathic Pulmonary Arterial Hypertension w/ resultant R heart failure who came in short of breath. Greg Powell, MD

Source

https://www.thepocusatlas.com/right-ventricular-dysfunction


Metadata