Right Ventricular Dysfunction - McConnell's Sign - Pulmonary Embolism

← Back to List

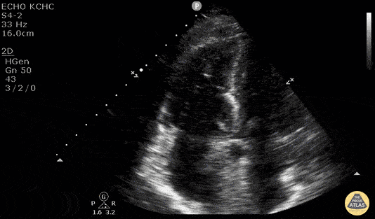
Right Ventricular Dysfunction - McConnell's Sign - Pulmonary Embolism

Caption

Elderly patient with chest pain, sob, and HR in 120’s. During ER stay became hypotensive with systolic in 80’s. POCUS demonstrated RV enlargement and McConnell’s Sign - systolic akinesia of the RV free wall with preserved functioning of the apex. This is concerning for acute PE. Patient became progressively hypotensive and TPA was pushed. Dr. Kelly Maurelus, Matthew Riscinti - Kings County Emergency Medicine

Source

https://www.thepocusatlas.com/right-ventricular-dysfunction


Metadata