Right Ventricular Dysfunction - Right Heart Thrombus pre TPA

← Back to List

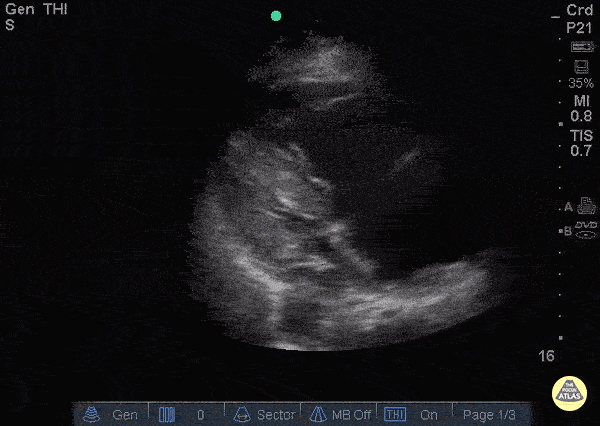
Right Ventricular Dysfunction - Right Heart Thrombus pre TPA

Caption

88 y/o F presenting with chest pain and syncope. Shortly after arrival patient went into brief period of cardiac arrest with ROSC. POCUS shows massive thrombus floating back and forth across the tricuspid valve with a dilated right ventricle, D-sign, and global right heart hypokinesis. Patient was given TPA bolus. Approximately 1 hour after pushing TPA, repeat POCUS with resolution of thrombus on RV, but patient continued RV hypokinesis. Patient vitals stabilized enough for a CTA which showed left main pulmonary artery extending into both left upper lobe and left lower lobe branches with evidence for right heart strain. Dr. Roderick Alfonso, Maan Al Dubayan, Andrew Sweeny - Kings County Emergency Medicine

Source

https://www.thepocusatlas.com/right-ventricular-dysfunction


Metadata