Right Ventricular Dysfunction - Hyperechoic lesion with enlarged RV from PE

← Back to List

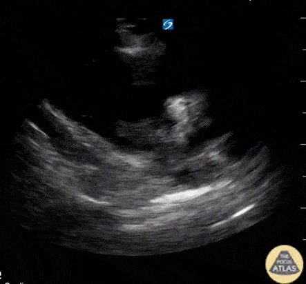
Right Ventricular Dysfunction - Hyperechoic lesion with enlarged RV from PE

Caption

[SonoClipShare Submission]: PLA demonstrating a small LV, an enlarged RV, and a hyperechoic lesion moving back and forth (later views confirming moving between RA and RV). 1st of 4 views to be submitted on the same case. This was an unfortunate 40ish y/o 6 months s/p CVA 2/2 ruptured aneurysm and IDDM presenting with 4 days of "feeling weak". Found to have a HR of 120 to 130, a BP around 90-100/60-70 and pulse ox of 90 - 92%. POCUS lungs were normal. Started on heparin, CTA confirmed PE and went to IR for catheter-directed tPA lysis with normalization of BP, HR and good clinical outcome. Image courtesy of John Hipskind MD

Source

https://www.thepocusatlas.com/right-ventricular-dysfunction


Metadata