Right Ventricular Dysfunction - Right Ventricular Enlargement in Chronic COPD

← Back to List

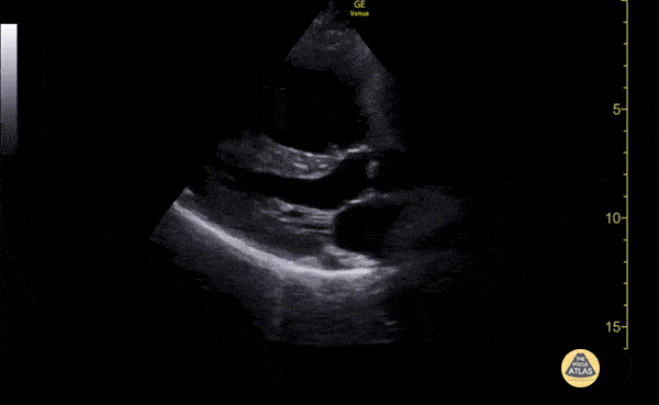
Right Ventricular Dysfunction - Right Ventricular Enlargement in Chronic COPD

Caption

This clip demonstrates severe right ventricular enlargement seen on a parasternal long axis view. The patient had developed cor pulmonale from longstanding COPD. Pooja Belligund

Source

https://www.thepocusatlas.com/right-ventricular-dysfunction


Metadata