Right Ventricular Dysfunction - Post Traumatic Arrest Echo with RA/RV Thrombus

← Back to List

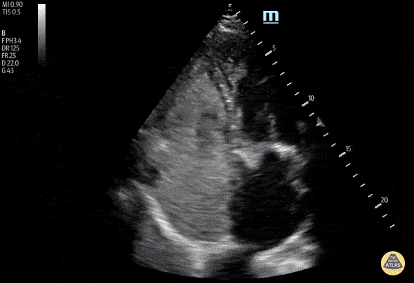
Right Ventricular Dysfunction - Post Traumatic Arrest Echo with RA/RV Thrombus

Caption

This image is from a patient presenting after a high speed MVC. The patient had a past medical history of atrial fibrillation and was anti-coagulated. On arrival to ED, the patient was agitated, clammy, and noting shortness of breath. The initial eFAST was negative. The patient was intubated with propofol for CT imaging. 15 min post-intubation the patient became hemodynamically unstable and bradycardic followed by cardiac arrest. An apical four chamber view was obtained during pulse check showing dense clot in RV/RA with minimal cardiac activity. Nishant Cherian Emergency Medicine Registrar

Source

https://www.thepocusatlas.com/right-ventricular-dysfunction


Metadata