Right Ventricular Dysfunction - McConnell's Sign

← Back to List

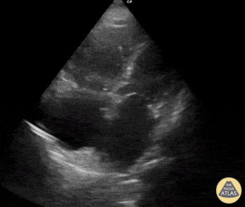
Right Ventricular Dysfunction - McConnell's Sign

Caption

An elderly female presented with complete AV heart block. Apical 4-chamber view was performed and was notable for regional RV dysfunction (aka McConnell’s Sign). Though this finding is commonly associated with acute PE, our patient was found to have right coronary artery occlusion as the etiology of all findings. Renato Melo, Emergency Physician at HC de Marília-SP, Brazil. PocusJedi co-founder. @Renato_Melo_

Source

https://www.thepocusatlas.com/right-ventricular-dysfunction


Metadata