Right Ventricular Dysfunction - Obstructive Shock & RUSH

← Back to List

Right Ventricular Dysfunction - Obstructive Shock & RUSH

Caption

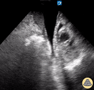
Shown here is an image acquired while performing a RUSH exam on a 40-year-old female who presented in shock. HPI notable for SOB and worsening abdominal distention x5 days; PMH of decompensated etoh cirrhosis. Vitals included BP 80/40; HR 110; RR 30; O2 sat 90% RA. Seen here is the image obtained while performing subcostal sweep from base to apex. It is most notable for a dilated, hypokinetic RV with paradoxical septal motion and an underfilled, hyperdynamic LV. There is also intraperitoneal free fluid appreciated. Subsequent CT chest confirmed presence of large, bilateral pulmonary emboli as etiology of patient’s shock. David Carroll

Source

https://www.thepocusatlas.com/right-ventricular-dysfunction


Metadata