Right Ventricular Dysfunction - McConnell's Sign

← Back to List

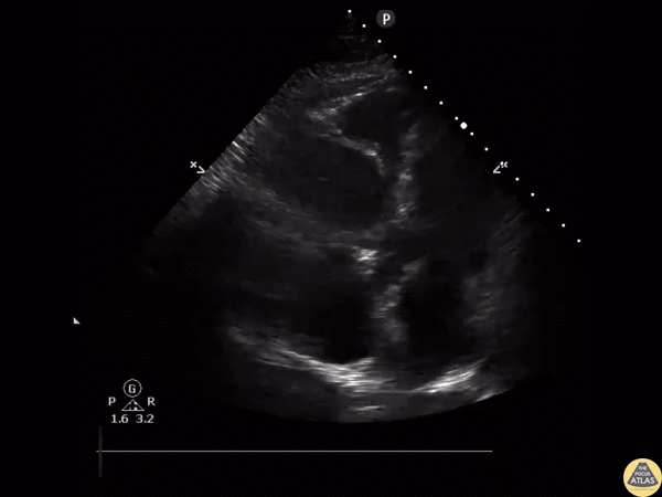
Right Ventricular Dysfunction - McConnell's Sign

Caption

A female in her mid-30’s presented to the ED with chest pain and shortness of breath. POCUS at the apical window revealed right ventricular free wall akinesis with sparing of the apex, indicative of McConnell’s sign of a pulmonary embolism. A clot can also be seen within the right atrium. Image courtesy of Robert Jones DO, FACEP @RJonesSonoEM Director, Emergency Ultrasound; MetroHealth Medical Center; Professor, Case Western Reserve Medical School, Cleveland, OH View his original post here

Source

https://www.thepocusatlas.com/right-ventricular-dysfunction


Metadata