Bowel-GI - Appendicitis with two fecaliths

← Back to List

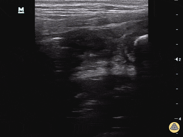
Bowel-GI - Appendicitis with two fecaliths

Caption

Patient with RLQ pain, ttp, fever and guarding. POCUS performed at area of maximal tenderness demonstrating a dilated appendix >6mm with a blind distal end and sonographic McBurney's. Two fecaliths can be visualized, one at the distal end and a smaller one more proximally (right side of the screen). Dr. Sathya Subramaniam - Children's Hospital of Philadelphia

Source

https://www.thepocusatlas.com/bowel


Metadata