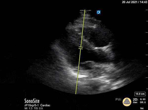
Right Ventricular Dysfunction - McConnell's Sign on PLAX View

← Back to List

Right Ventricular Dysfunction - McConnell's Sign on PLAX View

Caption

RV dilation violating the rule of thirds. McConnell’s sign is also demonstrated in this view with RV apical hyperkinesis and lateral wall hypo/akinesis. Patient was found to have a submassive pulmonary embolism. Moudi Hubeishy @hubeishy_MD

Source

https://www.thepocusatlas.com/right-ventricular-dysfunction


Metadata