Right Ventricular Dysfunction - McConnell's Sign Due to NSTEMI

← Back to List

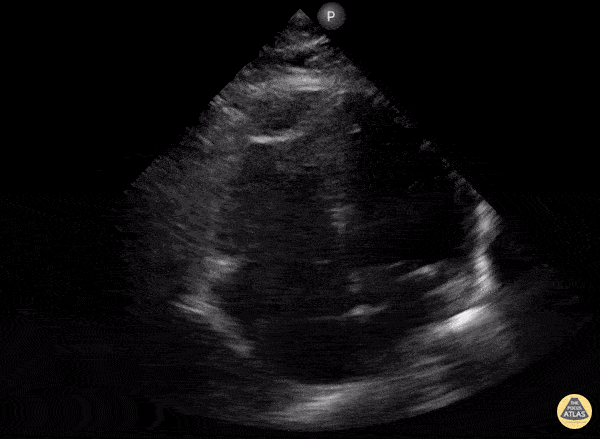
Right Ventricular Dysfunction - McConnell's Sign Due to NSTEMI

Caption

An elderly patient presented with shortness of breath and generalized weakness found to have an NSTEMI and high degree AV block. Bedside focused cardiac ultrasound with 4 chamber apical view revealed: McConnell’s Sign. Chest CTA neg for PE. Patient underwent cardiac catherization with culprit lesion being mid RCA. Not all McConnell’s sign is related to acute PE. In this case RV infarct secondary to NSTEMI with mid RCA occlusion s/p DES PCI with complete resolution of AV block. Dat Lu MD, Internal Medicine Clerkship Site Director Kaiser Roseville

Source

https://www.thepocusatlas.com/right-ventricular-dysfunction


Metadata