Right Ventricular Dysfunction - McConnell Sign with RV Enlargement

← Back to List

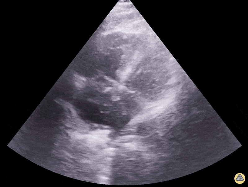
Right Ventricular Dysfunction - McConnell Sign with RV Enlargement

Caption

Clip showing McConnell Sign and right side heart enlargement consistent with acute RV strain. While this can be seen in acute pulmonary embolism, it can also be seen in other conditions that cause acute RV dysfunction such as MI or pHTN. Dimitri Livshits DO, Ultrasound Fellow; Jane Belyavskaya MD, Ultrasound Fellow; Chris Hanuscin MD, Ultrasound Division Director (Kings County/SUNY Downstate)

Source

https://www.thepocusatlas.com/right-ventricular-dysfunction


Metadata