Right Ventricular Dysfunction - Right heart enlargement in PSLA

← Back to List

Right Ventricular Dysfunction - Right heart enlargement in PSLA

Caption

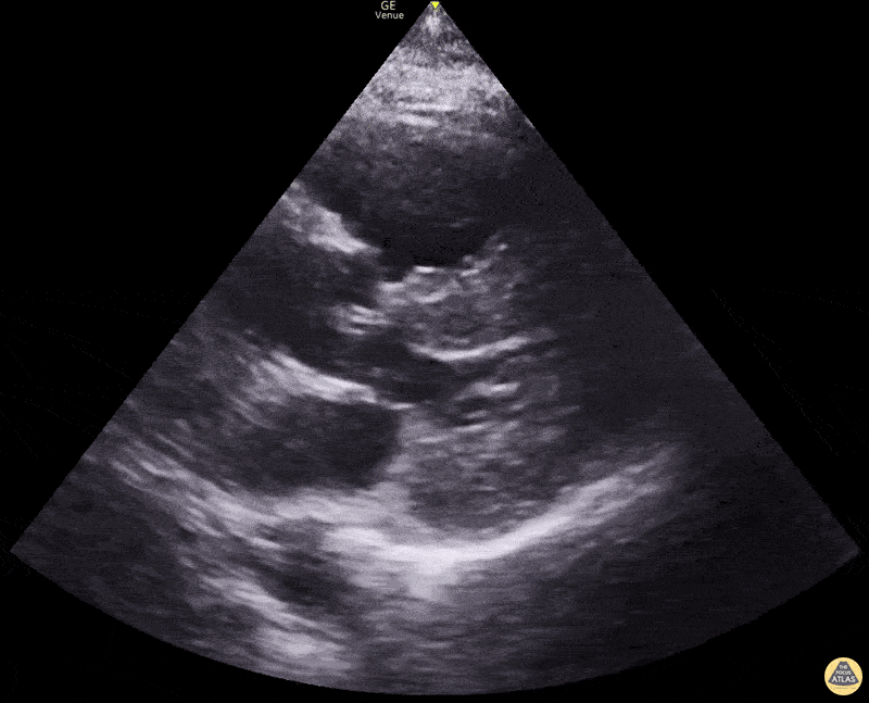
Right ventricular enlargement in parasternal long view. Using the normal 1:1:1 ratio of LV:LVOT:RV you can see that RV in this clip is larger than the LV and LVOT. Dimitri Livshits DO, Ultrasound Fellow; Jane Belyavskaya MD, Ultrasound Fellow; Chris Hanuscin MD, Ultrasound Division Director (Kings County/SUNY Downstate)

Source

https://www.thepocusatlas.com/right-ventricular-dysfunction


Metadata