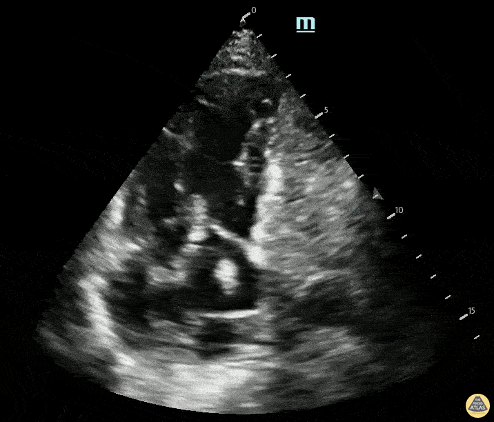
Right Ventricular Dysfunction - Apical 4 Chamber view demonstrating massive PE with RV dilation, D-sign, and McConnel sign with clot in transit

← Back to List

Right Ventricular Dysfunction - Apical 4 Chamber view demonstrating massive PE with RV dilation, D-sign, and McConnel sign with clot in transit

Caption

An elderly female presented with 3 days of shortness of breath. Apical 4 chamber view identified clot in transit, severe RV dilation, and McConnell’s sign on bedside ultrasound prior to CT confirming saddle PE Contributed by: Max Goder-Reiser, MD

Source

https://www.thepocusatlas.com/right-ventricular-dysfunction


Metadata