Right Ventricular Dysfunction - D Sign in Right Heart Strain

← Back to List

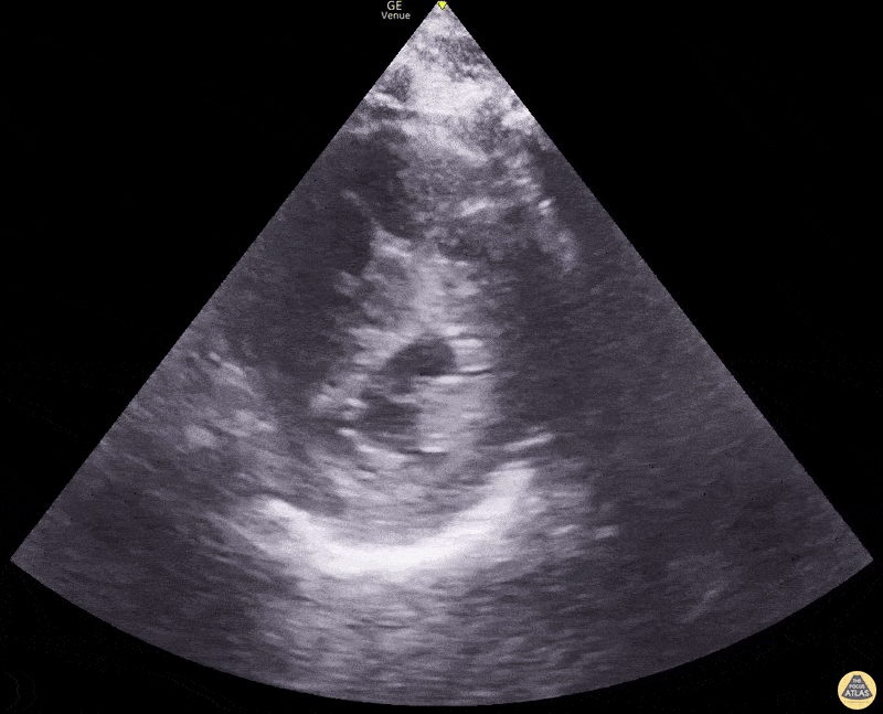
Right Ventricular Dysfunction - D Sign in Right Heart Strain

Caption

Parasternal short axis view with interventricular flattening showing a ‘D-sign’ consistent with right heart strain in this patient with an acute pulmonary embolism Dimitri Livshits DO, Ultrasound Fellow; Jane Belyavskaya MD, Ultrasound Fellow; Chris Hanuscin MD, Ultrasound Division Director (Kings County/SUNY Downstate)

Source

https://www.thepocusatlas.com/right-ventricular-dysfunction


Metadata