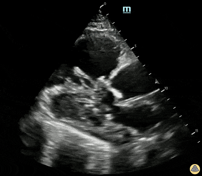
Right Ventricular Dysfunction - PSLA view demonstrating RV dilation and clot in transit

← Back to List

Right Ventricular Dysfunction - PSLA view demonstrating RV dilation and clot in transit

Caption

An elderly female presented with 3 days of shortness of breath. PSLA view identified severe RV dilation on bedside ultrasound prior to CT confirming saddle PE. Contributed by: Max Goder-Reiser, MD

Source

https://www.thepocusatlas.com/right-ventricular-dysfunction


Metadata