Right Ventricular Dysfunction - RV Failure

← Back to List

Right Ventricular Dysfunction - RV Failure

Caption

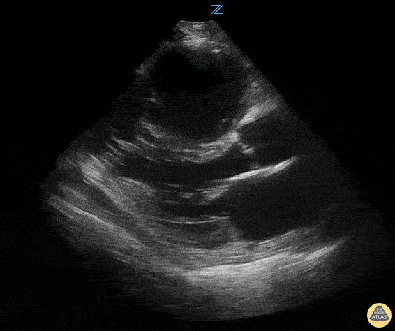
100 year old patient presented with dyspnea. CXR showed "atelectasis vs. pneumonia." No leukocytosis or fever seen. She began to have episodes of hypotension. Before giving fluids, an echo was performed...... She had chronic RV failure with an acute exacerbation. Notice severe RV enlargement seen in this PSLA view. John Bowling, DO, Cleveland Clinic Akron General, @BModeBowling

Source

https://www.thepocusatlas.com/right-ventricular-dysfunction


Metadata