Bowel-GI - Appendicitis (Long Axis)

← Back to List

Bowel-GI - Appendicitis (Long Axis)

Caption

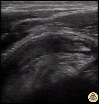
18 y/o with severe acute onset RLQ abdominal pain, associated with vomiting. Temp 100.8 with guarding over RLQ. POCUS performed and revealed appendicitis. 8mm dilated, non-compressible, aperistaltic appendix with an appendicolith present (hyperechoic structure in blind end of appendix) surrounded by free fluid. Tender directly over the appendix. The psoas muscle can be seen on the right side, and bowel can be seen to the left. Drs. Bryan Jarret, Sathya Subramaniam - Kings County/SUNY Downstate

Source

https://www.thepocusatlas.com/bowel


Metadata