Right Ventricular Dysfunction - Right Heart Strain in Pulmonary Hypertension PSL

← Back to List

Right Ventricular Dysfunction - Right Heart Strain in Pulmonary Hypertension PSL

Caption

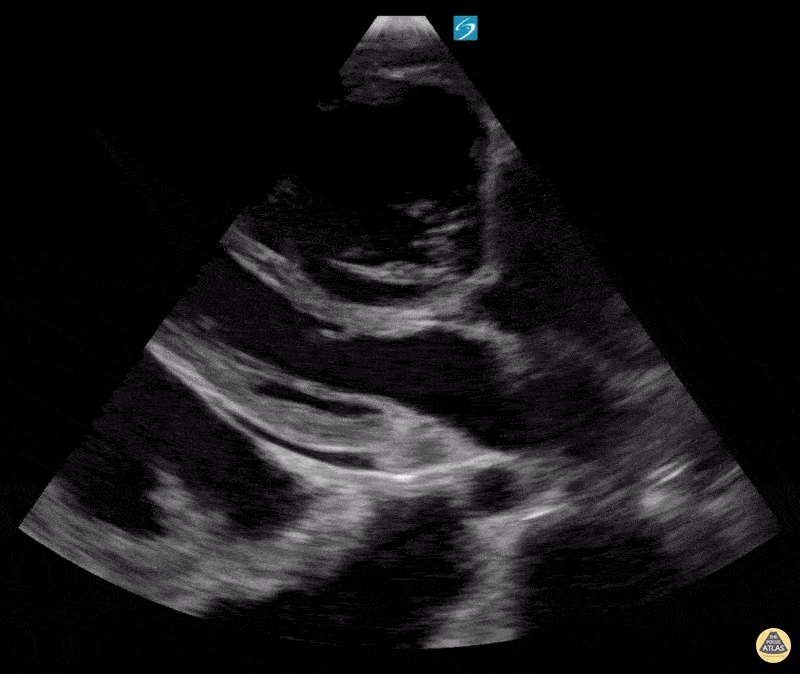
28 yo M PMH Pulmonary Hypertension (PH) group 1 and 4, RV failure due to PH, invasive pulmonary aspergillosis in MICU for mixed shock (Cardiogenic vs Sepsis). Lethargic with high needs for Heated High Flow Nasal Canula. RV failure is noted with significant RV and RA dilation with bowing of interventricular septum into LVOT as well as McConnell's sign. Patient also has a pericardial effusion, bilateral pleural effusions and ascites. Erick Otiniano, MD MPH | DHREM PGY1

Source

https://www.thepocusatlas.com/right-ventricular-dysfunction


Metadata