Cardiac Tumors - Squamous Cell Metastases to the Heart

← Back to List

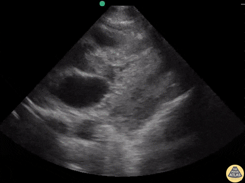
Cardiac Tumors - Squamous Cell Metastases to the Heart

Caption

59 y/o F PMH metastatic squamous cell carcinoma of lung with metastases to bone, brain, liver, subcutaneous tissue presents with undifferentiated SOB. Patient tachycardic, hypotensive but alert with EKG showing non-sustained ventricular tachycardia. Multiple hypodensities and cystic lesions in the LV, proximal outflow tract in left ventricle, all suggestive of a thrombus vs mass vs vegetations. Eventual presumed diagnosis after formal transthoracic echo is metastases to the heart. Dr. Joshua Schecter, Dr. John F. Kilpatrick - Kings County/SUNY Downstate Emergency Medicine

Source

https://www.thepocusatlas.com/cardiac-tumors


Metadata