Cardiac Tumors - Cavo-Atrial Tumor-Thrombus Complex

← Back to List

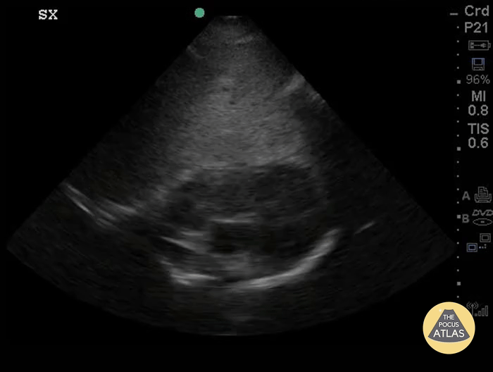
Cardiac Tumors - Cavo-Atrial Tumor-Thrombus Complex

Caption

Extensive tumor-thrombus complex originating from a right adrenal malignancy that invaded the IVC and migrated cephalad until it was prolapsing through the tricuspid valve into the RV. Shockingly, this monstrous goomba was almost invisible on PSL, PSS, and A4C views. Submitted by Dr. Elias Jaffa

Source

https://www.thepocusatlas.com/cardiac-tumors


Metadata