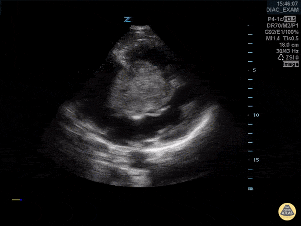
Cardiac Tumors - Atrial Myxoma
Caption
In this parasternal long axis view, a large mass is present in the right atrium that moves into the right ventricle during diastole. Frances Russell, MD, RDMS
In this parasternal long axis view, a large mass is present in the right atrium that moves into the right ventricle during diastole. Frances Russell, MD, RDMS