Cardiac Tumors - Left Atrial Myxoma

← Back to List

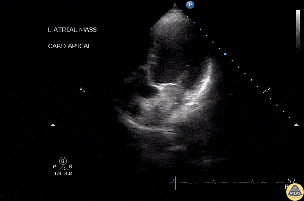
Cardiac Tumors - Left Atrial Myxoma

Caption

Apical 4 chamber view of a patient with dyspnea of exertion revealed a left atrial myxoma. Image courtesy of Robert Jones DO, FACEP @RJonesSonoEM Director, Emergency Ultrasound; MetroHealth Medical Center; Professor, Case Western Reserve Medical School, Cleveland, OH View his original post here

Source

https://www.thepocusatlas.com/cardiac-tumors


Metadata