Cardiac Tumors - Right Atrial Myxoma

← Back to List

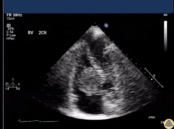
Cardiac Tumors - Right Atrial Myxoma

Caption

An apical 4 chamber view on a patient with CP, SOB, and palpitations revealed a right sided atrial myxoma. Image courtesy of Robert Jones DO, FACEP @RJonesSonoEM Director, Emergency Ultrasound; MetroHealth Medical Center; Professor, Case Western Reserve Medical School, Cleveland, OH View his original post here

Source

https://www.thepocusatlas.com/cardiac-tumors


Metadata