Cardiac Tumors - Cardiac Myxoma

← Back to List

Cardiac Tumors - Cardiac Myxoma

Caption

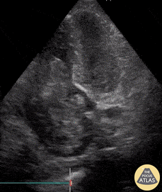
64 yo man with history of hepatic cirrhosis presented to ED with hypotension. During the RUSH exam, we incidentally identified this large hyperechoic mass occupying a large part of the right heart. Cardiac myxomas are the most common primary cardiac tumor in adults, though only 15–20% originate within the right atrium as does this one. The etiology of hypotension in our patient ended up being septic shock secondary to SBP. However, bedside ultrasound sometimes surprises you with stunning and unexpected images! Renato Tambelli, @JediPocus Emergency Physician (HCFAMEMA /Sao Paulo, Brazil)

Source

https://www.thepocusatlas.com/cardiac-tumors


Metadata