Valvulopathy - Endocarditis PSAX

← Back to List

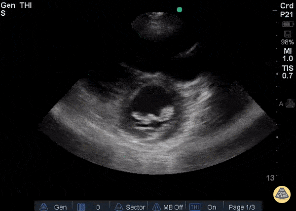
Valvulopathy - Endocarditis PSAX

Caption

Patient with history of IV drug use, admitted for sepsis. Parasternal short axis view shows large mass attached to anterior leaflet of mitral valve. Blood cultures prove bacterial endocarditis. Ria Dancel, MD. University of North Carolina at Chapel Hill

Source

https://www.thepocusatlas.com/valvulopathy


Metadata